WHAT IS ANEWGEN?
ANEWGEN is a 100% acellular allogeneic dermal powder product. It is made from donor tissue certified by the U.S. FDA, ensuring high safety and excellent biocompatibility.
Rich in collagen, elastin, and various ECM components, ANEWGEN provides immediate volume and elasticity when injected into the vaginal wall. Over time, it integrates with the body through engraftment and self-tissue regeneration, supporting fundamental vaginal tissue restoration and recovery.
-
01Outstanding
SafetyUses donor tissue certified by the U.S. FDA and passes three rigorous microbiological safety tests.
Processed with CO₂ decellularization technology, free of detergent residues, ensuring a non-toxic product.
-
02Excellent Biocompatibility
100% acellular allogeneic dermis with superior biocompatibility.
After injection, new collagen and blood vessels are formed, leading to engraftment and self-tissue regeneration.
-
03High Quality with Supercritical Technology
Achieves a decellularization rate of 95% and ECM preservation above 70%.
Contains higher levels of collagen, elastin, and growth factors compared to other collagen-based products.
Supercritical Fluid Technology
An eco-friendly purification technology, safe for people and the environment.
When a substance is placed under conditions of high temperature and pressure above its critical point, it takes on unique properties — with the density of a liquid and the diffusivity of a gas.(In our process, we use CO₂ as the supercritical fluid.)
Thanks to this dual nature, it has strong dissolving power like a liquid, but spreads easily like a gas, allowing it to penetrate deeply and efficiently.
In our application, supercritical CO₂ permeates cells, dissolving their membranes and nuclei, and safely removing unwanted
Why ANEWGEN?
- Non-toxic upon injection since no surfactants are used
- High decellularization rate minimizes immune response
- ECM preservation above 70%
- Retains a variety of growth factors
High decellularization rate
a safe collagen injection with
a decellularization rate of over 95%.
High ECM Preservation.
abundant collagen, elastin,
and diverse growth factors,
delivering excellent volume
and regenerative effects.
Safe Non-Toxic Product
injection, produced through
a supercritical fluid process
without toxic residues.
Characteristics
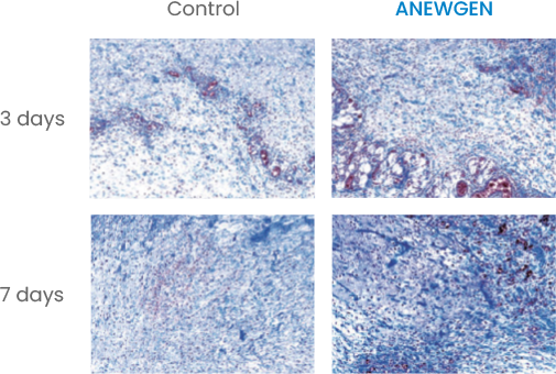
Collagen Enhancement Effect (Masson trichrome staining)
a key component of the ECM (blue: collagen fibers).
Various Growth Factors
G-CSF: A hematopoietic growth
factor that promotes
the differentiation of bone marrow
progenitor cells
into white blood cells.
IL-10, IL-19: Anti-inflammatory
cytokines that suppress immune
and inflammatory responses.
ANEWGEN contains a high
level of growth factors and
anti-inflammatory cytokines,
promoting cell growth.
Before&After
Before
After

