Feel New again
ADM Human Tissue
HD IMPLANT는 선별된 기증자로부터 채취한 무세포 동종진피(Acellular Dermal Matrix)로,
면역반응을 일으킬 수 있는 모든 인자들을 제거하여 만든 최적의 피부 이식재 입니다.


HD IMPLANT의 주요 특징과 장점 - 안전성
HD IMPLANT는 미국 AATB 검증기관 기준으로, 적격성 평가를 통과한 검증된 기증자만을 사용하는 인체유래 동종 진피 제품으로,
초저온 냉동방식(특허 제 10-1107022)의 유일한 기술을 이용한 가장 최적화된 무세포 ADM 제품 입니다.
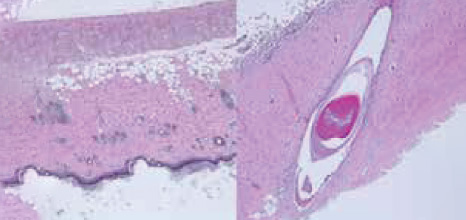
짙은 청색의 점모양이 관찰된다면 세포 핵이 염색된 것으로, 세포가 잔류하는 것으로 판단(그 외 연 붉은색과 연 푸른빛은 세포외기질을 의미)
원재료(Native) 피부에서는 다양한 종류의 수많은 세포, 모근 등이 확인됨
가공완료한 HD IMPLANT™에서는 염색된 세포핵이 관찰되지 않음 잔류세포 없음을 확인함


기증자의 세포를 제거하는 탈세포 공정 과정 후 세포잔여물(Cell debirs)도 제거가 온전히 이루어졌는지 확인
세포 내 존재하는 DNA가 세포 파괴 후 공정과정에서 제거된 후 얼마나 잔여하고 있는지 정량적 측정을 진행
HD IMPLANT™에서 용출된 잔류 DNA가 거의 없음을 확인함(EATB - 유럽조직은행연합회 기준우수한 기준)
HD IMPLANT의 주요 특징과 장점 - 우수한 생착력

HD IMPLANT의 주요 특징과 장점 - 유의미한 콜라겐 생성

HD IMPLANT의 주요 특징과 장점
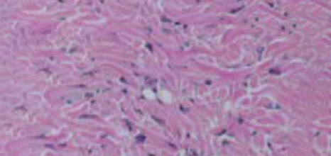
세포에서 콜라겐 등의 조직 성분을 합성해 세포를 지지하는 골격을 만드는 세포, 조직의 구조유지와 상처 치유에 관여
- DAP I : 세포핵
- CK-10 : 표피층
- Vimentin : 섬유아세포

질플란트 시술

인체유래 동종진피를 매듭형태로 가공한 이식재(HD IMPLANT-F)를 질에 삽입하는 시술입니다.
현재 동종진피는 유방재건술, 화상환자 피부이식, 어깨재건술, 남성성형술 등 다양한 분야에서 사용되고 있습니다.
질플란트 시술 메커니즘
질플란트 시술 Before&After



질플란트 시술 Q&A
현재 유방재건술, 화상 환자 피부이식, 어깨재건술, 남성성형술에서 많이 사용되고 있습니다.
질플란트 시술은 100% 진피조직을 사용하기에 오랜시간 볼륨감이 유지됩니다.
그리고 질주름을 복원시키는 효과가 훨씬 탁월합니다.
떨어지면 1-2줄 추가시술 하면 됩니다.
생리대를 약 3-5일간 착용하시면 됩니다. 성관계는 2~3주 후면 가능합니다.







