WHAT IS ANEWGEN?
ANEWGEN은 100% 무세포 동종진피 파우더 제품으로, 미국 FDA 인증을 받은 기증조직을 사용하여 매우 안전하며 생체적합성이 우수합니다.
콜라겐, 엘라스틴 및 다양한 ECM을 함유하고 있어 질에 주입 후 즉각적인 볼륨과 탄력을 만들어주며, 생착되어 자기조직화가 이루어져 근본적인 질 이완 회복에 도움을 줍니다.
-
01탁월한 안정성
FDA 인증받은 기증조직을 사용하며, 총 3차에 걸친 엄격한 균 배양검사 심사
CO₂를 이용한 탈세포화 공법으로 계면활성제가 전혀 들어가지 않은 무독성 제품
-
02우수한 생체적합성
100% 무세포 동종진피로 생체적합성이 뛰어남
주입 후 새로운 콜라겐 및 혈관이 생성되어
생착 및 자기 조직화 -
03초임계 공법을
이용한 높은 품질탈세포율 95%, ECM보존율 70% 이상
타사 동종 콜라겐 제품 대비 높은 콜라겐,
엘라스틴, 성장인자 함유율
Supercritical Fluid Technology
인체와 환경에 모두 안전한 차별화된 친환경 청정 기술
일정 온도와 압력(임계점) 이상의 상태에서 각 물질별 임계점은 고유한 값을 가집니다.(당사에서는 이산화탄소 사용) 액체와 같은 밀도로 충분한 용해력과 기체와 같은 낮은 표면장력으로 우수한 투과성을 보입니다.
CO₂ 초임계 유체가 세포를 투과하면서 인지질과 핵막을 용해하고
세포물질(DNA)를 제거할 수 있습니다.
Why ANEWGEN?
- 계면활성제 미사용으로 인체주입시 무독성
- 높은 탈세포율로 면역반응 최소화
- ECM 보존율 70% 이상
- 다양한 Growth Factor 보존
높은 탈세포율
95% 이상의 탈세포율로
안전한 콜라겐 주사입니다.
높은 ECM 보존율
풍부한 Collagen, Elastin 함량,
다양한 성장인자를 보존하여 뛰어난
볼륨과 재생효과를보입니다.
안전한 무독성 제품
초임계 공법을 통해 만들어진
무독성제품으로 안전한 콜라겐
주사입니다.
Characteristics
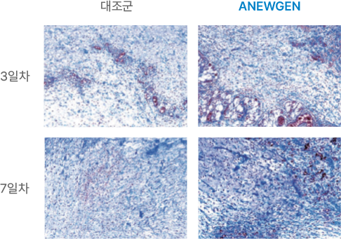
콜라겐 증가 효과(Masson trichrome staining)
다양한 성장인자 함유
G-CSF: 골수 전구세포가 백혈구로 분화하도록 촉진, 혈액 형성 성장인자
IL-10, IL-19: 항염증성 사이토카인으로 면역과 염증반응을 억제
ANEWGEN의 성장 인자 함유량 및 항염증성 사이토카인 발현이 높아 세포 성장 촉진
Before&After
Before
After

