ECM Skinbooster
HUCELLIN
HUCELLIN은 인체(Human)와 세포(Cell)의 정수를 담아 탄생한 이름입니다. 콜라겐, 엘라스틴,
히알루론산 등 실제 피부를 구성하는 ECM(세포외 기질) 핵심 성분을 풍부하게 함유하여, 손상된 피부
구조를 재건하고 최적의 피부 환경을 선사하여, 피부 깊은 곳부터 활력을 채워주는 ECM 스킨부스터입니다
WHY HUCELLIN?
-

실제 피부 성분(ECM)의 최적 배합
-

인공합성물질 0%
-

모공, 기미, 잡티, 탄력 등 다양한 피부고민 해결
-

민감 피부 진정 및 염증 반응 완화
-

손상된 진피층의 근본적인 구조 개선
-

인체 유래 성분의 높은 생체 적합성 및 안전성
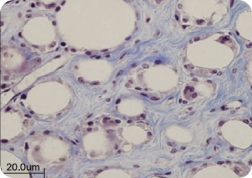
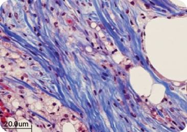
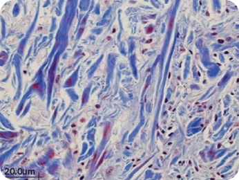
Tissue Regeneration Effect of HUCELLIN
hADM ECM의 조직 재생 효과



A. Control group : Saline injected

B. E1 group : ADM injected

C. E2 group : 1/2 volume of ADM
injected[comparing with B]

휴셀린 주입시 이종 콜라겐 제품과 비교하여
염증반응이 감소하고,
섬유조직 형성이 촉진되는 것을 확인함.
Low Injection Pain
휴셀린의 낮은 시술 통증과 안정적인 주입감


평균 입자 크기 17㎛의 초미세 균일 입자(Dv 10 3.1㎛, Dv 50 14 ㎛, Dv 90 36.1 ㎛)


Hucellin L 1.0cc 31G 주사침 결합 후 측정
평균 주입력 5.25N / 최대주입력 7.2N
휴셀린은 초미세 균일 입자 기술과 안정적인 주입력을 바탕으로 34G 니들까지 사용 가능하며, 시술 시 환자의 통증 부담을 최소화합니다.
주입력이 낮아 큰 힘을 주지 않고도 원하는 부위에 원하는 만큼 정교한 주입이 가능하고, 급작스럽게 분출되지 않으므로 시술 안정성이 증가합니다.
제품정보

| 구분 | 내용 |
|---|---|
| 제품명 | HUCELLIN™(휴셀린) / HUCELLIN L™(휴셀린 L) |
| 제품 분류 | 인체조직 |
| 용량 | HUCELLIN™ : 150mg/1syringe HUCELLIN L™ : 1.0cc/1syringe (3%) |
| 입자 크기 | ≦70㎛ (평균 17㎛) |
| 주성분 | 무세포 동종진피 Buffered Saline(LIQUID 타입) |
| 유효기간 | HUCELLIN™ : 5년 / HUCELLIN L™ : 2년 |
| 보관조건 | 1~30도 실온 보관 |
| 사용목적 | 피부의 구조와 기능 복원 |
FAQ
탈세포 공정을 거쳐 면역반응을 일으키는 모든 요소를 제거하여 감염, 부작용 위험을 줄였으며,
가공 후 균 배양 검사까지 진행하여 매우 까다롭게 관리되고 있습니다.

